siteback
Eye Diseases
Age-related Macular Degeneration
Age-related Macular Degeneration
home
about
contact
diseases
prevention
treatment
technology

Site Design: www.hartydesign.com

Dry AMDDrusen

Aging changes at the back of the eye ( AMD ) involve the part of the eye responsible for central vision. This part of the eye is called the macula and is the central portion of the retina. This condition can take two major forms termed dry and wet. The dry form of the condition is much more common than the wet form and generally causes less serious vision decline. This type of AMD is also likely to progress much more slowly than wet AMD . On average 80-90% of people with AMD  will have the dry form of the condition. The other 10 to 20% will have the wet form. Milder forms of dry AMD can often be present without noticeable vision decline.

The first sign of dry AMD is often the development of tiny yellow grain like deposits under the retina. These often start being small in size and gradually, often over many years, grow larger in size and increase in number. These deposits are called drusen. It is now recognised that people with just a few small drusen will have a very low chance of developing more advanced AMD over a five year period (around 1.3%) compared to a much higher risk of developing more advanced AMD in those who have already developed some larger drusen bodies.Later signs of dry AMD may include gradual loss of specialised cells called retinal pigment epithelial cells (RPE). These cells act as the nutritional support system for the retina. Patchy loss of these cells is fairly common even early on in the AMD process but with time the patchy areas of RPE cell loss may coalesce and form larger islands of cell loss - a finding termed geographic atrophy. This stage of dry AMD is often associated with poor vision and is one of the types of AMD termed advanced.

In Summary

Early AMD . People with early AMD have either several small drusen or a few medium-sized drusen. At this stage, there are no symptoms and no vision loss.
Intermediate AMD . People with intermediate AMD have either many medium-sized drusen or one or more large drusen. Some people see a blurred spot in the center of their vision. More light may be needed for reading and other tasks.
Advanced Dry AMD . In addition to drusen, people with advanced dry AMD have a breakdown of light-sensitive cells and supporting tissue in the central retinal area. This breakdown can cause a blurred spot in the center of your vision. Over time, the blurred spot may get bigger and darker, taking more of your central vision. You may have difficulty reading or recognizing faces until they are very close to you.

 

Wet AMD

Age related macular degeneration is the leading cause of blindness in the UK population over 60 years of age. As many as 24% of the population aged 65 to 74 and 35% of people aged 75 or over presently have the disease. With the ever increasing elderly population in the UK the number of people developing AMD will continue to rise. AMD affects the macula-the central part of the retina that is responsible for clear central vision needed for daily activities such as reading, driving or recognising faces. It is caused by abnormal blood vessels that leak fluids and blood under the macula. They grow underneath the retina and take the form of a "membrane". This membrane of abnormal blood vessels tends to cause leakage of fluid into and under the retina. In addition it is quite common for some of the abnormal blood vessels to burst open and lead to bleeding underneath the retina. If this leakage and bleeding continue unabated the eventual result is the development of a scar with consequent extreme damage to the macula and therefore often a very severe loss of central vision. In fact although dry AMD is much more common than wet AMD , nearly 90% of people who are registered blind or partially sighted with AMD have suffered from the wet form of the condition. Symptoms of wet AMD in the early stages can be distortion of vision, dark or grey patches of missing vision and general fogginess. These symptoms are often much more noticeable when trying to see things up close, for example reading a book, knitting or sewing. Often the vision for distance can be much less involved, especially in the early stages of the condition.

In order to assess the extent and severity of the wet form of AMD we normally recommend an OCT test and fluorescein

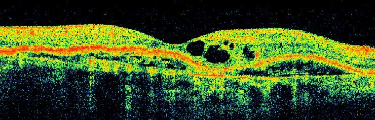
Cystoid Macular Oedema (CMO) and Pigment Epithelial Detachment

cmoped1

cmoped2

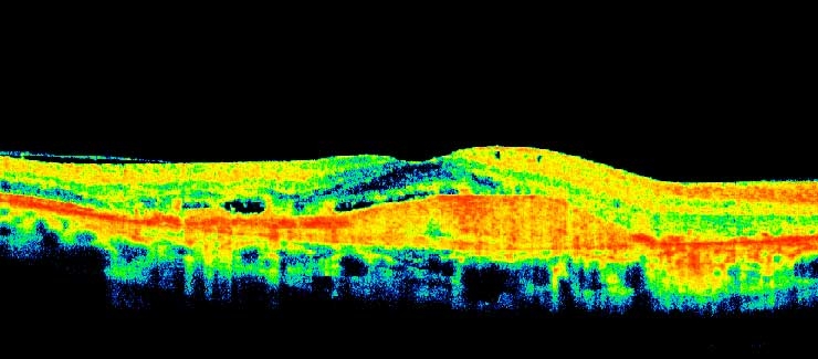
Choroidal Neovascular Membrane

cnv1

cnv2

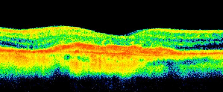
Sub-Retinal Fluid (SRF)

srf1

Sub-Retinal Fluid and

srf2

Drusen

drusen2

< Back to Eye Diseases

faq