siteback
Eye Diseases
homeimage
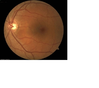
Central Serous Retinopathy
home
about
contact
diseases
prevention
treatment
technology

Central serous retinopathy is an eye condition where fluid accumulates underneath the retina causing distortion and visual loss. Patients are typically 20-50 years old and often complain of a sudden, painless loss of vision. This condition occurs 8-10 times more commonly in men than in women and is more common in Caucasians. It is felt that this may be a stress-related condition as it is more common in patients with “Type A” personalities, and can induced in rabbits and monkeys with IV injections of epinephrine.

Symptoms

Patients may be asymptomatic unless the central part of the retina (macula) is affected. In these cases, they note decreased or blurred vision, distortion (metamorphopsia), micropsia (small image size), and abnormal colour vision (dyschromatopsia). Visual acuity can range from 6/6 to 6/60.

Fundus Appearance - Clinically, there is a localized retinal elevation (detachment). There may also be a detachment of the outermost layer of the retina called retinal pigment epithelium (RPE). There may be some small yellow spots in the area of detachment. There may be other areas with changes in pigmentation which are believed to correspond to previous CSR episodes

csr1 csr3

csr2

< Back to Eye Diseases

Site Design: www.hartydesign.com

faq